牙周病
事實上,要有一口好牙並不困難,只要專注於兩件事就對了!
1. 力量的控制 - 重點在讓牙齒承受合理的力量
一般單純的蛀牙並不會有牙齒承受力量不足的問題,但牙周病因為壞的是根基的部分,會有支撐減少的問題,萬一產生缺牙的問題,狀況就會更加棘手,因為剩餘的牙齒要支撐原本的咀嚼力量,因此原本已經不強的殘餘牙齒竟要負擔更大 所以更容易壞掉。
2. 發炎的控制 - 主要包含蛀牙與牙周病的控制
蛀牙的處理較容易克服,一般蛀牙的症狀明顯,因為會疼痛所以會尋求醫師治療,只要牙齒的齒質還足夠,清乾淨後直接填補或者根管治療做牙套都可解決。比較麻煩的是牙周病,常常症狀不明顯因此容易拖延,且相對而言好的牙周醫師並不好找,所以經常都在不知不覺中拖延了治療的時機。以上兩者只要治療完全且配合良好口腔衛生與定期檢查,仍然都可以維持長久 !
牙周病,掉牙兇手
牙周病是成人牙齒脫落的主要原因。大約四個人中, 有三個人的牙齒掉落原因是由於牙周病而掉落。現在也有越來越多的臨床証據顯示牙周病和全身性疾病如心血管疾病等有密切的相關性。 牙周病的發病率已居口腔內三類主要疾病 ( 齲病、牙周病、咬合不正 ) 之冠患病率高達90%,是成人掉牙的主要原因。
要想身體好,牙周健康不可少
醫生在對急性心肌梗塞患者進行全身檢查時也發現,患者大多存在不同程度的口腔疾病,其中最常見的是牙周炎和牙周膿腫。
約8%的感染性心內膜炎與牙周病和牙病有關。
口腔衛生差者慢性呼吸道疾病的發病率是口腔衛生良好者的1.3倍。
中重度牙周病患者又比輕度牙周病患者,早產機率多出3倍 !
牙周病是什麼 ?
牙周病就是牙齒周圍的組織發生病變
牙周組織是什麼 ?
包括牙齦、齒槽骨、牙周韌帶、齒骨質
牙周組織破壞包括 :
骨頭吸收、牙齦發炎、牙齒動搖
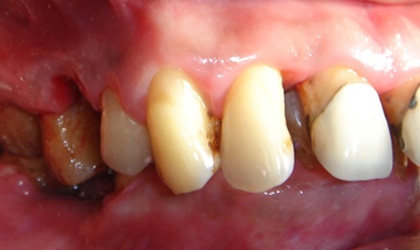
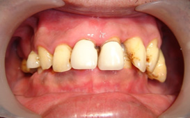
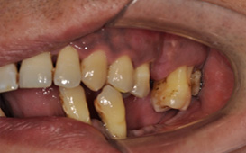
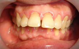
牙周病不處理會怎樣 ?
嚴重時,因為牙齒沒有牙周支撐,將導致牙齒鬆動、脫落。
如果沒有治療,牙齒喪失的數目經常不單只是一顆牙,往往是多顆牙齒,甚至於全口牙拔掉。


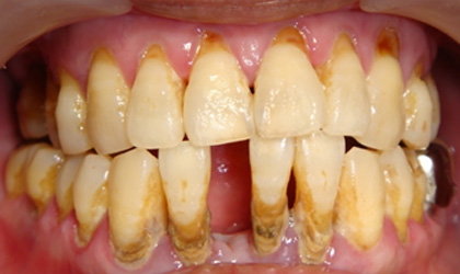
牙周病有什麼症狀 :
1. 刷牙時或不自覺的牙齦出血
2. 牙齦顏色由粉紅色變為暗紅色
3. 牙齦紅腫、疼痛甚至化膿
4. 牙齒酸軟無力;對冷熱食物敏感
5. 牙齦萎縮,齒牙慢慢移位,齒間出現間隙
6. 牙齒鬆動
7. 口臭



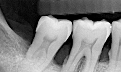
完整的牙周診斷 :
| 項目 | 特點 |
| 牙周探測檢查 | 軟組織情況 |
| X光檢查 | 硬組織型態 |
| 研究模型 | 立體型態 |
| 幻燈片 | 真實影像與色彩 |
後續矯正以建立出已喪失的空間



完整的口腔衛教與專屬的個人化清潔工具 :






雷射牙周治療:
利用雷射的能量,做徹底的消毒殺菌並促進組織愈合。
根據維也納大學的Moritz教授研究報告指出 : 相對於傳統方式的長期滅菌率約66.7%,雷射治療的滅菌率則高達96.9%
減少使用抗生素的機會 ; 避免抗藥性的發生。
雷射輔助治療牙周病的優點 :
增加成功率並減少流血及菌血症的發生
減少手術的需要性
較輕鬆較不痛
癒合較快
有效殺菌
理想的的牙周治療 :
儘可能以非手術處理
完整的牙周診斷
完整的口腔衛教與專屬的個人化清潔工具
雷射牙周治療,確實滅菌減少藥物使用
雷射作去敏感處理,氟扥塗氟
有效率且有實效、保固




診療項目
Facebook