美容牙科
牙齒美容是一個多因素的治療內容, 醫師除了需有審美的客觀判斷依據外,更需具備有綜合性的醫療能力 (包含手術與矯正…),足夠的溝通能力與經驗也是影響成敗的關鍵因素:美容牙科可能牽涉到牙齒比例,顏色,位置限制等先天性因素,有些需要加入手術與矯正處理才有可能達成理想的治療,需要花費的時間與資金有很大不同,當然治療的結果也有所不同。怎樣的治療對患者是適當的,需要經過患者與醫師的溝通才能有好的結論。
門牙型態更換前後比較

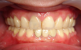
處理前

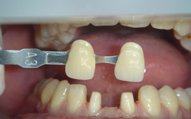
處理中

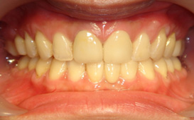
處理後
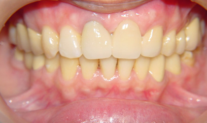
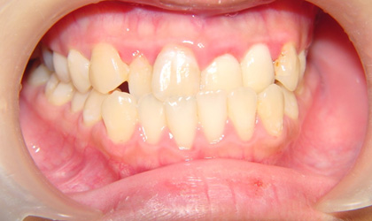
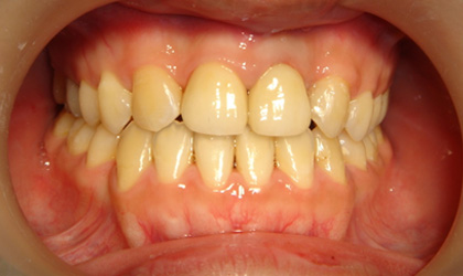
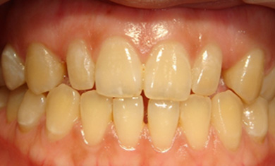
全瓷冠牙套前後比較
全瓷冠牙套前後比較-案例一
處理前



處理後



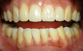
全瓷冠牙套前後比較-案例二

處理前

處理後
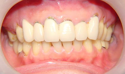
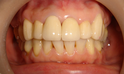
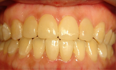
全瓷冠牙套前後比較-案例三

處理前

處理後
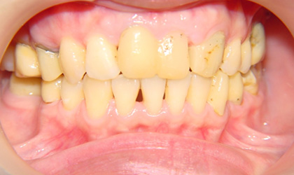
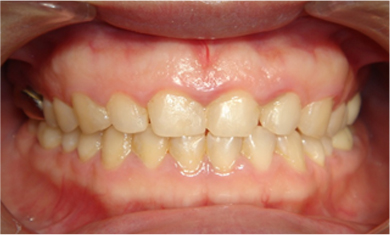
全瓷冠牙套前後比較(搭配矯正)-案例四

處理前

處理後
牙冠與瓷貼片前後比較
上下前牙瓷貼片案例

處理前

處理後

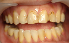
處理前

處理後
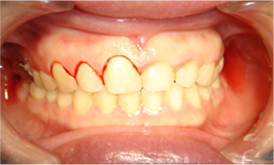
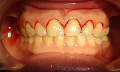
雷射牙冠延長術前後比較
處理前


處理後






診療項目
Facebook