齒顎矯正
I. 什麼是齒顎矯正治療 ? 大約有多少人接受矯正治療 ?
齒顎矯正治療是藉由一些口內與口外矯正器 ( 例如:金屬固定矯正器、頭罩 ) 施予合宜的生理機械力量系統,可將牙齒在三度空間中移動至既定的位置,調節顏面骨生長和同步塑造牙根周邊的齒槽骨,以有效的促進加強咀嚼功能,促進改善口臉部外型的美觀與減少蛀牙與牙周病發生率。


在歐美,平均每3~5人中有一個接受齒顎矯正治療,有很多案例是基於健康的考慮而處理。衛生組織資料顯示,全世界每十個人中有七個人有不同程度的齒顎不整,經由齒顎矯正治療,這些齒顎不整的病患可獲得口腔健康、功能與美觀上的改善。
II. 什麼年齡適合接受齒顎矯正治療 ? 成年人可否接受齒顎矯正治療 ?
矯正治療並沒有年齡上的限制。「12歲最適宜接受齒顎矯正治療」是常聽到的錯誤觀念 ; 許多齒顎不整是漸進式的,剛開始可能很輕微,如果早期採取簡單而適當的預防性或攔截性的矯正治療,則可以避免日後青春期長期而複雜的治療。因此6~11歲的孩童如被懷疑有齒顎不整的可能,即應接受齒顎矯正醫師的診察。 不管幼童或成人,基本上牙齒均可接受人工力量而產生生理性的移動。目前,約1/2的矯正病人為成年人;成人齒顎矯正治療可使用透明矯正器減低矯正器明顯性。
III. 齒顎矯正治療需要多少時間 ? 戴矯正器會痛嗎 ?
大約幾個月到二年半左右不等 ( 不包含維護期 ) 。齒顎不整的嚴重性、生長、生理組織反應與病者的合作是決定治療時間長短的主要因素牙齒移動是齒顎矯正中最主要的工作。矯正所產生的力量加諸牙齒上開始的前二至五天,病友會在咀嚼食物時感覺到酸痛 ; 一般來說,該酸痛是輕微,可忍耐的,且不會響課業或日常作習 ; 2至5天過後,則該酸痛應已消失,病者即可依正常飲食方式進食。 在正確的治療中,牙齒的移動是經過審慎的安排而且是健康的生理性移動,不應引起過度不舒適的感覺。此外,在治療初期矯正器可能引起口腔軟體組織的不適應,但這種感覺將會在幾天至一個禮拜內消失。


VI. 為何有時候齒顎矯正治療需拔除牙齒 ?
針對齒顎矯正治療中拔除牙齒之措施,一些傳統觀念是錯誤的;這些觀念缺乏任何臨床證據或科學根據。例如:「拔牙會引起身體傷害、神經病變或關節炎」。齒顎矯正治療的歷史,已經超過一個世紀;利用拔牙取得正常排列牙齒所需的空間,也已有六十年的歷史,是一個正常、健康而沒有副作用的臨床方式。 以客觀立場來說,如果能夠以幾顆牙齒的代價而換取健康美觀的齒列,該代價應是值得的。


V. 齒顎矯正器像什麼樣子 ?
依據矯正器戴用於口内或口外,矯正器分為兩類:口内矯正器與口外矯正器;而依據固定於牙齒上與否,口内齒顎矯正器又分為固定式矯正器 ( 黏著於牙齒上 ) 與活動式矯正器 ( 不固定在牙齒上,可任意自口內移除 ) ; 醫師會根據實際需要選用適當的裝置。
常見的口内矯正器分為 : 不鏽鋼合金矯正器、透明陶瓷矯正器
1. 不鏽鋼合金矯正器 : 由不鏽鋼合金製成,最為堅固與承壓 ; 外觀較明顯。


2. 透明陶瓷矯正器 : 由強化陶瓷製成,由於透明、外觀較不明顯 ; 但承壓強度弱,會限制力量系統的強度而致使治療時間延長約半年左右。

VI. 您對齒顎矯正治療療效有多少認識 ?
許多人有「牙齒不整齊不是病」的錯誤觀念,同時,認為矯正治療只是個改進美觀的「美容整型治療」 ; 固然齒列矯正治療可以有效的促進臉部的美觀,但齒列不整可同時產生功能與健康的問題,臨床資料明顯顯示,齒顎不整的病者易產生蛀牙及牙周病,但因為這類疾病是個慢性與漸進的,發病初期並無明顯感覺,它因此造成許多人疏於治療,當發病時已相當嚴重。 因此,齒列矯正治療並非只是美容治療,它實質上可同時促進咬合功能與口腔的健康。


面對齒顎不整疾病應如同面對其它疾病,合理的預防、診斷與即時的治療常可避免或減輕該疾病所衍生的生理傷害。
VII. 您對齒顎矯正治療的促進美觀部分的功效有正確的認知嗎?
齒顎矯正治療在許多先進國家相當的普遍,而已有上百年的歷史 ; 特別在美國,統計資料顯示,超過80%的學童接受診治 ; 它在促進美觀的功效上相當的有效、明確、而深被肯定。
因此在治療前,合理的預期良好的美觀促進的功效,是應具有的樂觀預期,但是由於治療中「美觀改善」的判定是有個人差異性與主觀性,因此,病者在治療前應對於美觀的促進要有足夠的瞭解與恰當的預期。

列舉一些常見的美觀促進功效的錯誤觀念 :
認為治療的結果應是「完美無缺」的人類口臉部的生理結構幾乎是無法完美無缺的。一些病者常有不同程度或不同部位的口臉部基礎結構不平衡或缺陷,例如 : 上顎骨外突、上顎骨內縮、下顎骨外突、下顎骨內縮、下巴短小或嘴唇肥厚 ; 治療中,由於上敘缺陷是屬於「基礎結構性缺陷」,所以這些缺陷的修正是比較有限度的。 但從實際而客觀的角度來看,這些基礎結構的缺陷雖然無法徹底改善或移除,醫師會儘量在治療中利用修正牙齒或齒槽骨,而設法平衡或掩飾這些矯正治療中所無法改變的結構或缺陷。 因此評估治療成果時,如能合理避免企求不實際的「絕對完美治療結果」,病者應可正面與樂觀接受治療中的口臉部,在健康、功能與美觀上的缺陷所獲得的改善。
認為治療結束後的成果是固定不變的
許多接受治療的病人經常有一個錯誤觀念,認為治療結束後的齒列結構是穩定且一成不變的。剛治療結束的齒列可能相當整齊與完整,這種結論是可喜的,而且是醫師與病者共同的期望 ; 理想上,雖然我們樂觀期待治療結束後整齊與完整的齒列是靜止而不變動的,但正常的牙齒生理並非如此。 事實上,有一些因素可能導致治療結束後之齒列變動 ; 例如在矯正前因咬合相關位置不佳已造成不均勻的磨耗情形 ; 或者由於牙齒天生尺寸大小不對稱,或是造型與齒間比例的些微不完美性 ( Bolton上下顎門齒比例差;Bolton Discrepancy ) ,都有可能導致部份結束的齒列,其齒間或上下齒列間會有自我尋求更密貼的咬合狀態與平衡的現象 ; 該齒列尋求平衡的生理現象可能導至輕微的牙齒異動。


此外,一些其它生理變數,例如,治療後顎骨異常生理變動,智慧齒萌發時推擠前側齒列,牙周病齒槽骨異常萎縮或維護器戴用不良或時間不足均可能造成治療結束後之齒列變動 ; 但多數案例的齒列變動輕微且不超過治療成果的1%~10%。
臨床上強制抑制該類變動雖是可行,但臨床觀察顯示,被強制抑制齒間或齒列間自我尋求更密貼的咬合狀態與平衡的齒列,在停止戴用維護器後,齒列仍會自我調節變動 ; 由於該類調節變動隸屬自限型,變動幅度輕微 ; 如變動不明顯影響齒列健康、功能或美觀,則該類生理性的調節變動可被接受。
基於考量到病者在年齡、缺陷部位、缺陷嚴重度,治療成果之穩定性與生理健康之維護等因素,在治療中有些結構會呈妥協性之修正。但該類妥協性之修正,為醫師基於全盤考量,所能安排之最佳完美結論。
VIII. 治療前該有什麼心理準備 ?
在心理上,您必須準備接受因治療而帶來的不便;您自然瞭解天下事沒有不勞而獲的。目前您面對一個您一生中極重要的抉擇 ; 抉擇的一邊是「容忍您不整齊的牙齒,不協調的臉部和它們帶來的生理與心理上的問題,任由它們伴隨您一生」 ; 抉擇的另一邊是「接受治療而重獲與您一生幸福與事業休閒相關的身心健康」。

齒顎矯正器械拆除後須知
恭喜您拆除了齒顎矯正器械,順利的完成了治療。相信今後您將擁有一口健康、功能良好而美麗的牙齒。沒有您在治療中全力的努力與配合,這個治療是不會成功的。拆除矯正器後,您在欣賞與享受治療成果之餘,煩請仔細瞭解熟讀下列重要事項,以正確的維護治療成果。

瞭解齒顎矯正器械拆除後的牙齒復發
齒顎矯正治療結束後,牙齒或顎骨並非已固定而不再變動。
牙齒可能再移動與顎骨變動 ( 復發 ) 的原因如下 :
1. 牙齒周邊骨骼與軟體組織之排斥
剛拆除矯正器後之牙齒,是以人工方式強迫排列而形成的。雖然外表上,牙齒之排列結構感覺良好,然而剛移動到新的口腔位置之牙齒,尚未與周邊組織達成平衡,此時,如任由牙齒與周邊組織之間 ( 包含肌肉,軟體組織 ) 或牙齒與牙齒之間自由決定平衡方式,牙齒極易受到周邊組織或其它牙齒之排斥或影響而產生移動或復發。 因此,您必須有一個正確的認知 : 即使排列再好的牙齒,如不遵循醫師指示正確戴用維護器,牙齒仍可能有生理移動。 但如正確戴用維護器,有效固定處於新位置之牙齒,復發會漸漸減弱或消失。
2. 生長的變數
未停止生長之病者應留意「口臉部骨骼與肌肉的生長因素」對牙齒造成異常變動。
3. 智慧齒之萌發
22歲以下之病者應特別留意智慧齒之萌發 ; 許多病者之智齒由於萌發空間之不足,或萌發之方式異常,導致智齒萌發時推擠鄰近牙齒,而造成鄰近牙齒產生不良之移動。

智慧齒萌發時常推擠前面牙齒,造成前面牙齒不正常之移動
請注意下列事項:
◎ 請勿在智齒尚未萌發完成之前,輕易放棄維護器之使用。
◎ 如您在智齒萌發前未遵循醫囑,主動停止使用維護器,則您應密切觀察牙齒是否有任何不良變化。如發現異常牙齒變動,煩請您在變化初期即時告知醫師;延遲告知醫師,會導致醫師已無法用一般簡易方式處理與修復,而可能導致不必要之再次治療與負擔治療費用。
4. 生理現象
隨著年齡增長,牙齒可能因周遭組織之老化與變動,而產生移動 ; 此類移動,與矯正治療並無關聯,歸屬於正常之生理現象。一般來說,此類型態之移動輕微而屬漸進式的,您如希望避免此類牙齒移動,可考慮長年戴用維護器。
5. 病理性移動
當牙周病或腫瘤型態的生理疾病發生於牙齒周邊支持組織時,此類疾病可能破壞牙齒周圍之支持織,導致牙齒喪失足夠之周邊支持,而引發牙齒異常移動。
基於「預防勝於治療」之觀念,您應當定期 ( 約半年 ) 拜訪您的一般牙科醫師,要求醫師檢視您牙齒周邊組織之健康。
6.顎骨異常生長
如治療後上下顎骨異常生長 ( 過度生長、生長不足或左右不均衡生長 ) ,則異常生長的顎骨可能破壞已修正的牙齒與臉型外觀。因此,病者應定期接受醫師復檢。
介紹牙齒維護器
牙齒維護器有許多種,醫師基於不同的因素,會為病人選擇不同的牙齒維護器。 各類維護器介紹如下 :
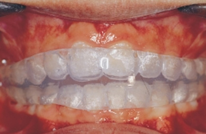
1. 牙齒細節調整器 ( Positioner )
由於矯正治療器本身之限制,排列剛結束之齒列,仍可能有少許缺陷。「牙齒細節調整器」是治療結束後初步使用的牙齒維護器。 該器是由矽膠製成 ; 它的製成,需專業矯正技師費時而精密的個人化設計與工作室操作,它可極度有效的在一個月內協助牙齒排列的更為良好。另外,它亦是個有效的牙齒維護器,它協助牙齒漸漸的穩定下來,達到健康且功能良好的平衡狀態。

牙齒細節調整定位器 ( Positioner ) 的使用方式:
◎ 第一個月您必須儘量全天候戴用它。除了進餐、刷牙與一些重要原因,您一天之內戴用的時間應超過20個小時 ; 戴用一個月後,醫師將會視病人不同的狀況調整配戴時間。
◎ 使用牙齒細節調整定位器 ( Positioner ) 時,應將牙齒咬入定位器中。
◎ 咬力過小會使定位效果不良 ; 咬力過大則可能造成肌肉不適,請您自行調整咬力。基本上, 咬力大所產生之效果較咬力小好一些,但過大之咬力,可能造成咀嚼肌肉之不舒適,維護器之破裂或損壞。
如果戴用時感覺牙齦疼痛,請與醫師約診調整「調整定位器」 ( Positioner ) 。
◎ 咬入調整定位器 ( Positioner ) 時,如感覺牙齒酸軟,則屬於正常的牙齒反應,此種反應會在幾天內消失。
◎ 如病者未依照醫師建議,只在睡覺時才戴用調整定位器 ( Positioner ) ,定位效果將會很差,因為睡眠時, 病者常因為口呼吸而根本完全未咬入調整定位器 ( Positioner ) ,而造成牙齒維護效果不佳。
◎ 請勿浸泡調整定位器 ( Positioner ) 於超過40℃之熱水中或直接曝曬於太陽光之下,它可導致維護器扭曲與變形。
◎ 當您張嘴講話時,牙齒會離開調整定位器,而喪失定位牙齒的效果。
◎ 請每晚用牙刷沾附牙膏或肥皂清潔調整定位器一次。
◎ 請勿在口腔內含有色素時使用調整定位器 ( Positioner ) ( 例如 : 紫藥水、紅蘿蔔汁、咖哩 ) ,它會造成定位器變色。如欲避開不愉快的染色,請勿在帶用調整定位器時食用含色素的食物或飲料。
◎ 為防止遺失,不使用時請將調整定位器置放於盒內,盒上可標示住家地址或手機電話;如調整定位器置放於盒內,外出遺失時,拾獲者多會打電話通知您。
◎ 若是無法依照醫師囑咐配合戴用維護器的時間而導致牙齒異動,額外的調整或進一步治療, 將酌收基本費用。
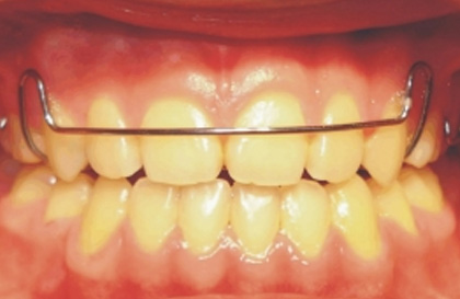
2. 赫氏上顎弓齒列固定器 ( Hawley Appliance )
牙齒細節調整定位器 ( Positioner ) 使用完成後,醫師經常給病者戴用「赫氏上顎弓齒列固定器」繼續牙齒之固定與維護 ( 下圖 ),或者矯正器拆除後,有時醫師會直接建議戴用「赫氏齒列固定器」。

赫氏上顎弓齒列固定器
赫氏上顎弓齒列固定器的戴用方式如下 :
◎ 晚間睡眠時,一定需要戴用維護器,這是戴用它基本必要時間。
◎ 至於白天戴用之時間長度,則決定於牙齒之穩定程度;原則上,如果牙齒感覺不穩定,則日間戴用時間應長,反之則短。
◎ 您極少需要在日間全天候戴用它 ; 您可依據戴用維護器時,牙齒咬入維護器時牙齒進入維護器的感覺而決定戴用時間的長短。
◎ 開始戴用時,您可以先在早上8 : 00至12 : 00 ( 四小時 ) 嘗試停止戴用維護器,以測試牙齒 穩定程度;當牙齒咬入維護器時感覺不緊,則表示病者的牙齒在四個小時未戴維護器時,牙齒未曾移動。基於這個現象,病者應可每天在該時段停戴維護器。
◎ 隨著牙齒的穩定性增加,可遞減戴用「赫氏齒列固定器」的時間。
◎ 如病者已可早上8 : 00至12 : 00 ( 四小時 ) 停止戴用維護器,醫師常建議病者六個月之後嘗試早上8 : 00至下午4 : 00連續八小時不戴維護器。
若八小時後在戴上維護器時,牙齒不覺得緊,表示牙齒在這段時間未曾移動過,醫師會建議 病者早上8 : 00至下午4 : 00連續八小時不戴維護器。
反之,如果覺得牙齒緊,則表示牙齒不能離開維護器八小時以上,病者應回到全天僅仍四小時不戴用維護器。
請記住一個簡單方式控制維護器戴用時間 : 如病者每日戴用維護器時間過短,而牙齒咬入維護器時感覺緊,則表示牙齒在未戴用維護器時間牙齒已有復發與異常移動的現象 ; 具有上述現象時,病者應增加維護器戴用時間。
◎ 長時間牙齒來回推擠,不但牙齒不易穩定,且可能造成牙根尖的異常吸收。
◎ 當您已可僅在睡眠時戴用維護器,而牙齒仍感覺舒適,您則僅需在夜間戴用維護器即可。
上下顎齒弓同步固定器的戴用方式與赫氏上顎弓齒列固定器的戴用方式相同。
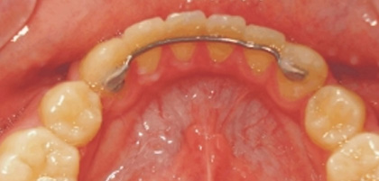
3. 下顎弓犬齒到犬齒舌側固定線
犬齒到犬齒舌側固定線是個簡單舒適的固定式維護器,常使用於下顎弓。
下顎弓犬齒到犬齒舌側固定線
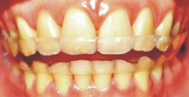
4. 上下顎齒弓同步固定器 ( Activator )
當醫師擔心上下顎齒弓相互關係可能有異常變動時,醫師可能要求病者戴用上下顎齒弓同步固定器 ( Activator ) ( 下圖 )

下顎齒弓同步固定器 ( Activator )
上下顎齒弓同步固定器(Activator)戴用方式:
「上下顎齒弓牙齒同步固定器」可以同時固定上下顎齒弓牙齒,是個功能良好的牙齒固定器。您戴用固定器時間的長短,則取決於牙齒之穩定程度。
原則上,隨著牙齒的穩定性增加,可遞減戴用固定器的時間。除非醫師有特別的醫囑,晚間睡眠時,一定需要戴用固定器,這是戴用它基本必要時間;在日間,您極少需要全天候戴用它,您必需在開始戴的時候,先測試應該戴用的時間,然後認真戴用。
您剛開始白天戴用時,可嘗試在8 : 00A.M.至1 : 00 P.M. ( 5小時 ) 停止戴用固定器,當您1 : 00P.M.牙齒完全咬入固定器時,如果感覺牙齒不緊,則表示您的牙齒在上午5個小時未戴固定器時段未曾移動;則您應可每天在該時段停戴固定器。但反之,當牙齒咬入固定器時,感覺牙齒會緊,則表示牙齒在不戴的5個小時中已產生不良移動 ; 基於良好維護原則,不能離開固定器5個小時以上,您應回到全天戴用固定器。3個月以後,您可再次8 : 00A.M.至1 : 00 P.M. ( 5小時 ) 試著停止戴用固定器,測試牙齒之穩定程度。
如您已可8 : 00A.M.至1 : 00 P.M. ( 5小時 )停止戴用維護器,而牙齒不曾移動,則3~6個月之後,您可自動嘗試8 : 00A.M.至8 : 00P.M.連續12小時不戴固定器測試牙齒穩定程度。當您8 : 00 P.M.牙齒完全咬入固定器時,牙齒感覺不緊,則表示您的牙齒在12個小時未戴固定器時,牙齒未曾移動 ; 則您應可每天在該時段停戴固定器。但反之,當牙齒咬入固定器時,牙齒感覺會緊,則表示牙齒在不帶的12個小時中已產生不良移動,基於良好維護原則,您應在牙齒戴上固定器感覺牙齒不緊的情況下,多戴用固定器。
原則上,您可依據戴用固定器時牙齒咬入固定器時牙齒緊不緊的情況,決定戴用時間的長短。牙齒咬入固定器時感覺緊,則表示牙齒在未戴用固定器的時間中已有復發與異常移動的現象 ; 具有上述現象時,您應增加固定器戴用時間。每日戴用固定器的時段要穩定, 不要跳動戴用時間。
請記住,如每日戴用固定器時間過短,會造成牙齒發生異動,而戴回固定器時又將異動的牙齒推壓回去;長時間牙齒來回推擠,不但牙齒不易穩定,且可能造成牙根尖的異常吸收。
當您已可僅在睡眠時戴用固定器,而牙齒仍感覺舒適,您則僅需在夜間戴用即可。
為了維護您健康美麗的牙齒,煩請盡力配合,我們關心您。
維護期時間長度
拆除矯正器後,個人之牙齒復發程度差異極大。帶用維護期的時間長度依復發強度而定 :
◎ 一般,維護期的時間至少需要5至10年左右。
◎ 具嚴重復發傾向的病例 ( 臨床少見 ),則需更長時間配戴維護器。
◎ 孩童病患,醫師會要求戴用維護器至少至25歲。
臨床觀察明確顯示 : 戴用維護器的時間愈長,則牙齒之穩定性愈好 ; 在美國已有許多醫師建議病者長期戴用維護器。
下列為一些可參考的維護期戴用知識:
如您的年齡已在19歲以上,而只需要在晚間睡眠時戴用維護器時,您應該至少再戴用五年。
如您的年齡在19歲以下,則當您已只需要在夜間戴用時,則您至少需要戴用至二十五歲。
您必須特別留意智慧齒之生長情況;您應在十六歲以後定期拜訪您的牙科醫師,檢視智慧齒生長狀況,而對不當的智慧齒生長即時做正確的處置與治療。
當您已符合醫囑,到達停止戴用維護器之時間,您仍應密切觀察牙齒之穩定狀況,如有明顯之不良移動,您應立時與診所聯絡,診所會為您安排恰當之措施。
不當戴用維護器,或任由牙齒產生不當的移動,可能導致齒列再度排列不良;明顯的復發可能導致再次治療與繳交治療費用。
戴用維護器的措施,與「買保險」的 觀念雷同;斷然少戴用或在不該停止戴用時停止戴用維護器,實質上是個冒險行為 ( 下圖 ) ,不當戴用維護器而已導致牙齒復發時,復發之牙齒是不易簡易修復的。
如診所判定治療已結束,建議您不必繼續就診,您如果有任何問題與需要,仍請不吝來電就診。

遺失維護器或維護器損壞時之處置
遺失維護器或不正常使用維護器,致使無法戴用維護器時,易導致牙齒之復發,因此,當有上述現象發生時,請即時通知醫師。醫師會立即為您製作新的維護器。
維護器遺失或變形收費
因人為之因素導致維護器遺失或變形時,診所將會酌收製作工本費(請參照收費表)。
維護器修補或置換收費表
| 種類 | 費用 |
| 單顎活動矯正器(靜止性) 例如 : 赫是上顎弓齒列固定器 (Hawley Appliance) |
$2000 |
| 單顎活動矯正器(治療性) | $3000 - $5000 |
| 舌側固定維持器 | $1500 |
| 蠟模 | $2000 |
| 種類 | 費用 |
| 雙顎壓克力滑動矯正器(靜止性) |
$3000 |
| 雙顎壓克力滑動矯正器(治療性) | $5000 |
| 舌側固定維持器重新固定 | $800 |
| 牙齒細節調整定位器 | $3000 |




診療項目
Facebook