固定假牙
全口重建 / 植牙 ( 缺牙重建的設計考慮,以及為什麼盡量不做牙橋的原因 )
固定假牙 : 植牙 / 牙橋

活動假牙

缺一顆牙時,製作牙橋或放置一單顆植體的差別
缺牙的處理,一般有兩種方式,一是製作牙橋,另一是放置人工植牙。
牙橋的好處是製作時間快,費用可能較節省 ( 因為材質不同而有不同 ) ,費用大約在兩三萬附近,若含黃金比例高有可能高達6 - 7萬元 ; 但是缺點就是要修磨旁邊的牙齒,比較可惜,而且一旦是假牙,就終身是假牙,而重建的咬合也較差 ( 兩人做三人的工作 ) ,因為仍舊是少一個牙根,不過仍比不做好。
放人工牙根,也就是植牙,其最大好處就是不用修磨旁邊的牙齒,這一點其實是無價,而且完成後的咬合功能很好,幾乎和自然牙一樣,但植牙的費用較牙橋高,一顆植牙費用大約是六七萬甚至超過十萬 ( 因案例難易程度 ) ,會因為使用廠牌和有沒有補骨頭而有費用高低之不同,但植牙的使用年限較長,同時可避免周圍的骨頭繼續減少 ; 若照顧良好,也可能好幾十年,一般而言,十年的成功率有百分之八九十,算是非常高;植牙因為要等骨頭和植體長牢,所以需要一些時間,一般上顎的牙要五、六個月,下顎因骨頭較為緻密,所以只需三四個月,但以長期的健康考慮,幾個月其實很快 ; 以專業的建議,植牙確實比較好。
牙橋
優點 : 費用較節省 ? 時間快 ?
缺點 : 需修磨齒質,鄰牙負擔增加,可能要根管治療 ,費時,缺牙區骨頭持續吸收



植牙
優點 : 最接近自然牙, 齒槽骨不會再吸收,保護剩餘的牙
缺點 : 費用較高,完成時間較長 ( 但不需一直就診 ) ,需小手術


活動假牙
優點 : 費用節省?時間快 ?
缺點 : 需修磨齒質,鄰牙負擔增加,黏膜 ( 牙床 ) 疼痛機會高,齒槽骨持續破壞,感覺較老,穩定度可能不好,一兩年後要墊底,五年要更換



骨板萎縮 - 隨著缺牙的時間越久,齒槽骨的吸收越大吸收到極至,甚至有下顎骨體因外傷就產生斷裂之可能



下臉部的美觀和牙齒有關,但也和齒槽骨與肌肉有關,長期戴活動假牙容易伴隨很多外臉部的變化,例如垂直高度下降,下顎往前旋轉,上顎後縮,臉布紋路增加,看起來好像不開心。
設計問題-力學考量 / 型態 / 咬合
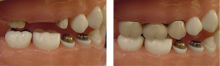
長牙橋導致蛀牙-案例一
拆下牙橋前


拆下牙橋後



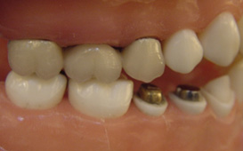
長牙橋導致蛀牙 - 案例二
拆下牙橋後


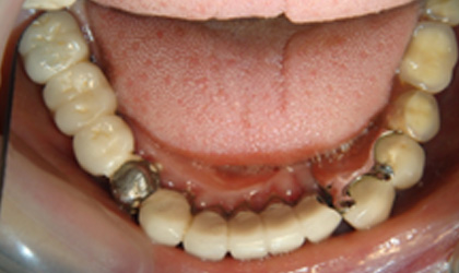
長牙橋導致蛀牙 - 案例三
拆下牙橋後


懸臂牙橋導致牙齒斷裂 ( 對側無牙 )






診療項目
Facebook