植牙全口重建
缺牙了怎麼辦 ?
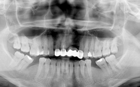
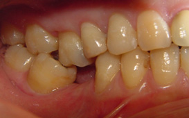
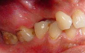
缺牙若不製作假牙時,並不只是少了一顆牙那麼單純,事實上,缺牙的周圍牙齒會往中間的空間倒,對咬的牙齒會往下長,也就是會引發全口咬合的改變,同時也因為牙齒傾倒不好清潔,進而造成牙周病或蛀牙的產生。
缺牙未重建的問題
咬合崩塌 / 上牙下墜 / 下牙上長 / 前牙飆出 / 傾倒 / 蛀牙 / 牙周病缺牙未重建 - 臨床實例
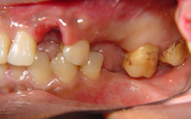
上面的牙往下墜,下面的牙往上長,前面的牙往外飆 – 咬合崩塌牙周病,蛀牙;這些現象必然發生,時間越久,問題越大,而且除非藉由矯正及其他牙科治療,無法修正。
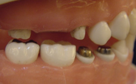
缺牙導致牙齒移位 - 臨床實例一



缺牙導致牙齒移位 - 臨床實例二



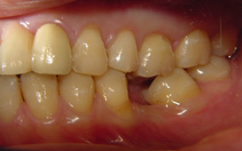
後續矯正以建立出已喪失的空間


全口重建 / 植牙 ( 缺牙重建的設計考慮 )


缺一顆牙時,製作牙橋或放置一單顆植體的差別 缺牙的處理,一般有兩種方式,一是製作牙橋,另一是放置人工植牙。 牙橋的好處是製作時間快,費用可能較節省 ( 因為材質不同而有不同 ),費用大約在兩三萬附近,若含黃金比例高有可能高達6 - 7萬元 ; 但是缺點就是要修磨旁邊的牙齒,比較可惜,而且一旦是假牙,就終身是假牙,而重建的咬合也較差 ( 兩人做三人的工作 ) ,因為仍舊是少一個牙根,不過仍比不做好。 放人工牙根,也就是植牙,其最大好處就是不用修磨旁邊的牙齒,這一點其實是無價,而且完成後的咬合功能很好,幾乎和自然牙一樣,但植牙的費用較牙橋高,一顆植牙費用大約是六萬多塊到八九萬塊,會因為使用廠牌和有沒有補骨頭而有費用高低之不同,但植牙的使用年限較長,同時可避免周圍的骨頭繼續減少 ; 若照顧良好,也可能好幾十年,一般而言,十年的成功率有百分之八九十,算是非常高 ; 植牙因為要等骨頭和植體長牢,所以需要一些時間,一般上顎的牙要五、六個月,下顎因骨頭較為緻密,所以只需三四個月,但以長期的健康考慮,幾個月其實很快;以專業的建議,植牙確實比較好。
牙橋
優點 : 費用較節省?時間快?
缺點 : 需修磨齒質,鄰牙負擔增加,可能要根管治療 ,費時,缺牙區骨頭持續吸收。



植牙
優點 : 最接近自然牙, 齒槽骨不會再吸收,保護剩餘的牙。
缺點 : 費用較高,完成時間較長 ( 但不需一直就診 ) ,需小手術。


考慮植牙的基本理由
單顆缺牙
牙橋設計的存活率大約是5 - 7年 ( 不同文獻有不同結論 ) ,失敗因素主要是由於支台齒修磨掉砝瑯質 ( 這是牙齒抗蛀性最好的一部分 ) 後,又加以連結,造成支台齒易產生蛀牙或根管的問題,且由於不易清潔,也有牙周問題的風險。 當牙橋失敗後,除了須重新更換假牙外,較為困擾的是支台齒的喪失問題,其喪失率為14年間有30%的支台齒喪失,使得缺牙問題更形嚴重。
植牙的優點
高成功率 ( 十年超過97% )
減少鄰牙蛀牙,根管,敏感等問題 ; 降低繼續缺牙的風險
便於清潔
像是自然牙一般
植體設計
寬直徑 vs 一般直徑
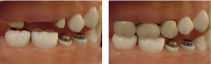
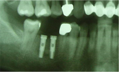
單顆雙植體 案例一








患者的需求
安全 ( 怕髒 ) 、效用 ( 怕失敗 ) 、方便 ( 怕等 ) 、外觀 ( 假牙外觀差異大 ) 、舒適 ( 怕痛 ) 、耐用 ( 保固 ) ,這每一項都是我們所重視的。
植牙是不是就都不會壞呢?
植牙的成功率遠較一般其他設計的成功率來的高,但不能說植牙一定沒問題 ( 最棒的車也不是一定沒問題啊 ! ) 若要探究植牙失敗的可能性,還是要回歸兩大討論點 - 發炎與力量的控制 ( 和我們自己的牙是一樣的 ) : 所以若能找有牙周背景的醫師放置適當足夠支撐的植體,再加上後續定期的追蹤與保養,應該都可以有很好的長久性 !
你們的植牙費用為什麼不能降低一些 ? 有些其他診所的費用比較低
有句話說「俗米沒好貨」,雖然這個不一定正確,但是有他一定的道理在 ; 我們的植牙費用可能和大醫院差異不大 ; 會因困難度,有無補骨等因素有一些差異 ; 訪間確實有一些費用特別低廉,但植牙是一個手術也是長期治療的考慮,建議您應找真正經驗豐富的診所與醫師。
我們的特色
經驗豐富 : 由案例分享或是您能親臨現場諮詢更清楚 , 您一定感受得出來 !
設備優良 : 使用的植體及器械都是最好的 ; 我們擁有解析度良好的 X 光機,對於植體長度上的判斷能較為準確 ; 我們也有教學醫院等級的骨刀,這對於上顎竇的手術安全性大為提高,較不會有上顎竇膜破掉的風險。
充沛且訓練優良的醫療團隊 : 我們擁有開刀房的消毒水準及人員配備 ; 一個手術會有一位醫師,兩位上刀的助手,並配置一個固定的周邊助手 ; 因為人員充沛所以品質可以較好,患者的折騰也比較少。
其實植牙的困難度有高有低 ; 但一般而言經驗豐富,人員充沛品質必然不同 : 您最在意的應不只是費用的考慮,更重要的是醫療的品質及長期的保障 ; 而且診所有提供保固,對患者是非常有保障的作法。
◎植牙不像吃ㄧ碗麵,不好吃換一家就好,除了花錢外可能還有皮肉痛,能不能感到很安心 ?




診療項目
Facebook