診療項目 SERVICE 首頁 / 案例分享

植牙全口重建 | 牙周病 | 齒顎矯正 | 固定假牙 | 美容牙科

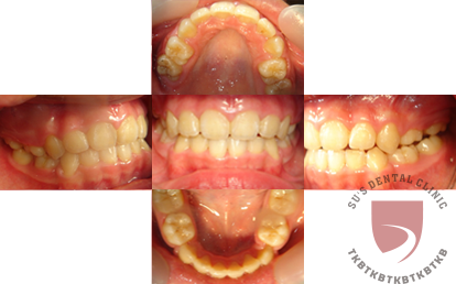
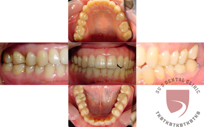
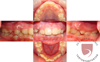
案例分享 ( 暴牙 )

矯正前  
成效因人而異,須遵從專業醫師指引

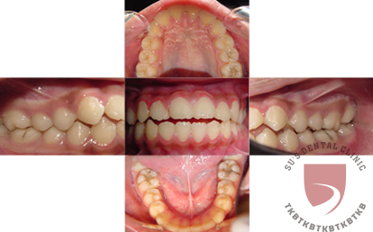
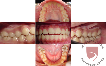
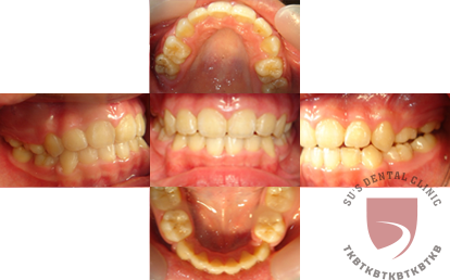
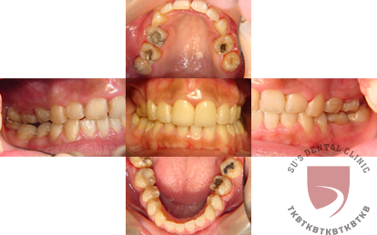
案例分享 ( 暴牙 )

矯正前   矯正後
成效因人而異,須遵從專業醫師指引

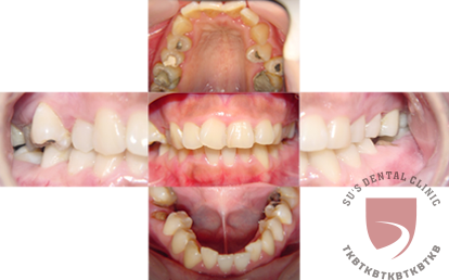
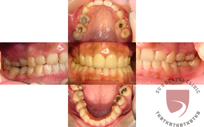
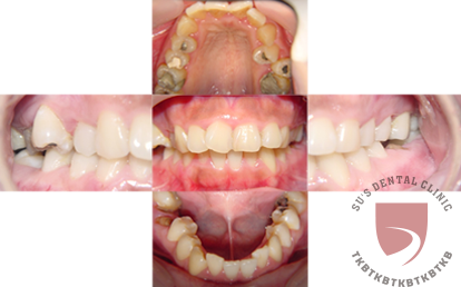
案例分享 ( 暴牙 )

矯正前   矯正後
成效因人而異,須遵從專業醫師指引

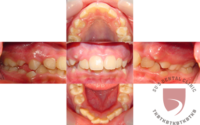
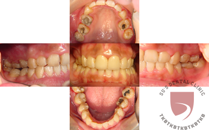
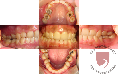
案例分享 ( 暴牙 )

矯正前   矯正後
成效因人而異,須遵從專業醫師指引


第 3 / 3 頁



高雄市新興區中正三路93號3樓 (07) 291-1618 Facebook

Copyright © 2016. All Rights Reserved.