診療項目 SERVICE 首頁 / 案例分享

植牙全口重建 | 牙周病 | 齒顎矯正 | 固定假牙 | 美容牙科

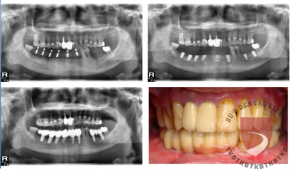
全口重建劉xx

成效因人而異,須遵從專業醫師指引

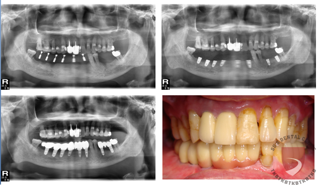
全口重建邱xx

成效因人而異,須遵從專業醫師指引


第 2 / 2 頁



高雄市新興區中正三路93號3樓 (07) 291-1618 Facebook

Copyright © 2016. All Rights Reserved.